くも膜下出血 ( 破裂脳動脈瘤 )
くも膜下出血の原因はほとんどが脳動脈瘤破裂による出血です。予後をよくするために、当院では術中に徹底してくも膜下出血の血腫洗浄を行います。上山式イリゲーションサクションを用い、double suction methodにて洗浄します。却って小血管や脳軟膜を傷めないよう技術を要します。
irrigationの実際


大型中大脳動脈瘤破裂によるくも膜下出血の症例
大型の破裂動脈瘤に対し開頭クリッピング術を施行。脳梗塞等合併症が起こる事なく退院されています。術前CTで認められるくも膜下出血は術後に反対側や、後頭蓋窩まできれいに洗浄除去されています。
術後はニカルジピンの低用量持続点滴療法(CLIN)を行っています。これらの治療を行うことで、大変怖い合併症である脳血管攣縮(血管が縮みあがり、梗塞を起こすことがあります)の合併率は通常15%-20%程度と報告されていますが、当科では3%程度に抑えることが可能です。
術中にくも膜下出血の血腫洗浄を丁寧に行う事で、術後に腰椎ドレナージを留置しません。この為、髄膜炎の発生も少なく、すぐに離床可能なため、早期からリハビリを行います。下記論文をご参照ください。

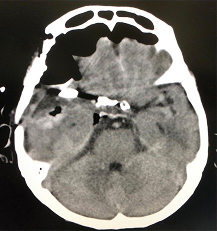
術前CT

術後二日目CT
巨大中大脳動脈瘤破裂によるくも膜下出血 gradeIII
85歳のくも膜下出血 gradeIII の方です。右巨大中大脳動脈瘤26mmの破裂です。動脈瘤が大きいため、はじめに浅側頭動脈ー中大脳動脈吻合術を行い、動脈瘤を挟み打ちする形でclipで三方遮断した後、動脈瘤を直接穿刺し、瘤をしぼませてからclippingを行っています。
術前後で比較していますがくも膜下出血の血腫を対側、後頭蓋窩まで極力除去し、症候性脳血管攣縮を併発する事無く経過し、歩行可能、高次脳機能障害無く、食事の全量摂取可能と成りました。

術前CT

術後CT

術前CTA 右巨大脳動脈瘤

術後CTA 動脈瘤は消失
STA-MCA bypass開存

3DCT

STA-MCA double bypas

direct puncture

aneurysmectomy

direct clipping
左内頸動脈-眼動脈分岐部16mmの動脈瘤破裂によるくも膜下出血
gradeIII の患者さんです。前床突起を削除し、動脈瘤と頭蓋底の間を剥離している最中に、大変脆弱にになっている内頸動脈から出血を起こしました。一時的に綿や外科用の接着剤などで止血した後に、急遽左前腕から橈骨動脈を採取して外頸動脈と中大脳動脈にかけて、high flow bypassを行い、内頸動脈を動脈瘤の前後でclipを二本用い挟み撃ちする形で閉鎖しています。
夜間でも躊躇なくhigh flow bypassを行う事で脳血管攣縮を起こす事もなく合併症なく経過し、mRS1でrehabili病院に転院されました。
