前立腺がんは、近年日本
で急激に増加しています
食生活の欧米化や家族歴、加齢によるホルモンバランスの変化などとの関係が指摘されていますが、
はっきりとした発症メカニズムは解明されていません。
また、早期の前立腺がんには自覚症状がほとんどなく、発見が遅れることがあります。
そのため、40歳以上の男性には、年1回のPSA測定によるスクリーニング検査が求められています。
PSA検査
PSA(前立腺特異抗原)は前立腺でつくられるタンパク質のひとつで、前立腺がんの腫瘍マーカーとして用いられています。
PSA値は年齢によって基準値が異なり、基準値以上の方は二次検査(精密検査)が必要です。また、前立腺肥大・前立腺炎などでも値が上昇することがあります。

基準値
-
- 64歳以下
- ~3.000 ng/ml
-
- 65歳~69歳
- ~3.500 ng/dl
-
- 70歳以上
- ~4.000 ng/dl
(前立腺がん検診ガイドラインより)
正常な前立腺MRI画像

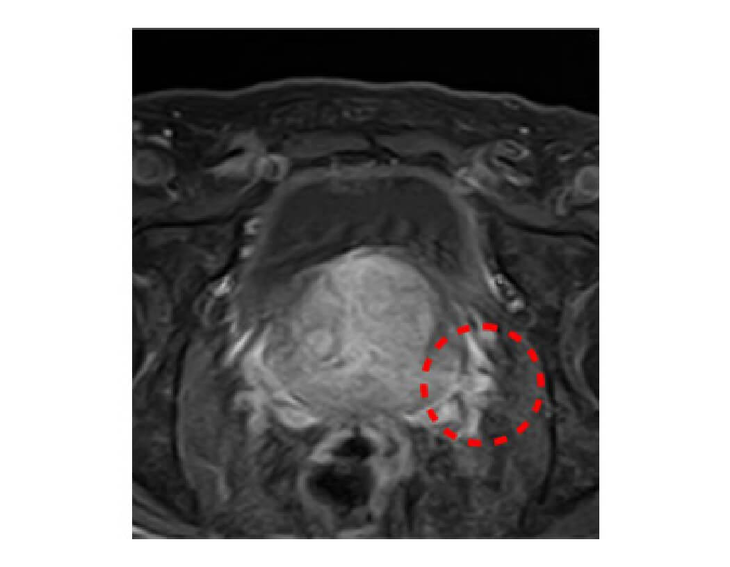
前立腺がんの症例
