日本人女性の乳がんの
好発年齢は、
45~49 歳
と60~64歳です
乳がんの罹患者(発病者)は年々増加し、現在の日本において、女性が罹患するがんの第1位となっています。
乳がんは早期発見をすれば、乳房を残す「乳房温存療法」を選択できる可能性が高くなります。
そのため、40歳以上の女性は少なくとも2年に1回、基本的には1年に1回の検診がすすめられています。
乳房X線検査(マンモグラフィ)
透明の圧迫板で乳房をはさみ、乳腺を押し広げて撮影する検査方法です。早期乳がんのサインである、砂のような石灰化などを鮮明に映しだすことができます。
乳がん検診においては、より正確な検査結果を得るため「乳房超音波検査」との併用がすすめられています。
なお、当センターでは専門の女性技師が検査を担当します。

乳房腫瘤の局在分類


乳房X線(マンモグラフィ)の撮影方向

乳房X線(マンモグラフィ)による
乳がんの症例

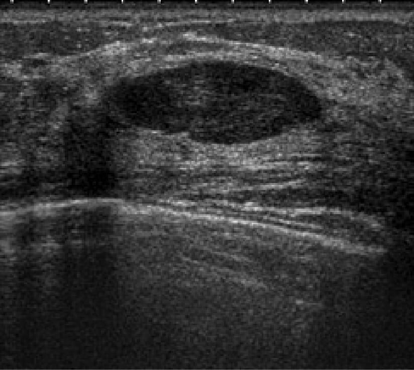
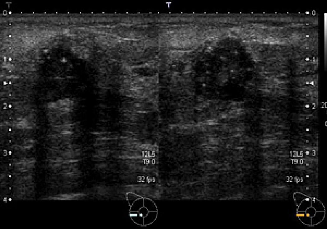
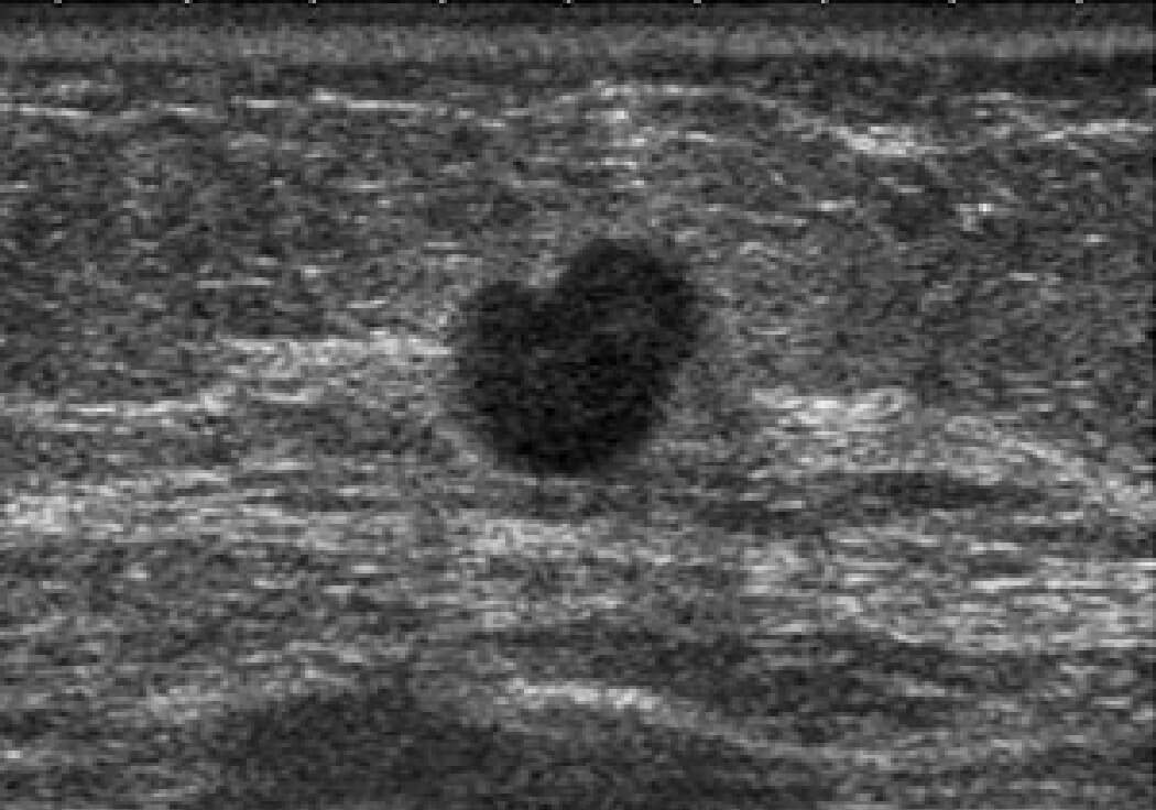
乳房超音波検査
乳房に超音波(エコー)をあて、乳腺内の病変の有無を調べます。触診ではわからない小さなしこりが発見できるほか、しこりが良性か悪性かもある程度判定することができます。若い方は乳腺が非常に発達しているため、超音波検査が効果的です。当センターでは乳房X線と同じく、女性技師が検査を担当します。
また、乳房X線(マンモグラフィ)・乳房超音波検査にはそれぞれに長所・短所があるため、「乳房X線検査」「乳房超音波検査」の2つをあわせて受診することをおすすめします。

正常

良性腫瘤の症例

乳がんの症例1

乳がんの症例2

| 乳房X線(マンモグラフィ)検査 | 乳房超音波検査 | |
| メリット |
|
|
| デメリット |
|
|