頭頚部MRI・MRA検査
MRI・MRA検査とは、強力な磁石でできたガントリーという筒の中に入り、磁気の力を利用しておこなう(X線などの放射線を用いない)検査です。人体内の各組織には水素原子が広く分布しており、この水素原子に磁気が共鳴する性質を利用して画像処理したものがMRIです。このMRI原理を利用して、脳の実質や血管の様子を詳しく立体画像化して画面上で三次元画像を表示することができます。頭部CT検査と異なり、X線による被ばくもなく、脳血管の状態を知ることができます。これらの検査をおこなうことにより、脳梗塞、脳出血、脳腫瘍、脳動脈瘤、動静脈奇形などがわかります。
検査は検査着に着替えて、MRI装置のベッドに仰向けに寝て、ガントリーというCT検査と同じような大きな筒状の装置の中へ移動します。検査中は工事現場のような音が耳元で連続して聞こえますが、できるだけ動かないようにしてください。検査時間は約20分ほどです。
※MR検査を受ける方への注意点
時計・カード類、ヘアピンや入れ歯など金属類がついているものは外していただきます。
また、ペースメーカーや頭部に金属が入っている方はMRI検査を受けることができませんので、あらかじめご了承ください。
詳細につきましては、当センターへお問い合わせください。
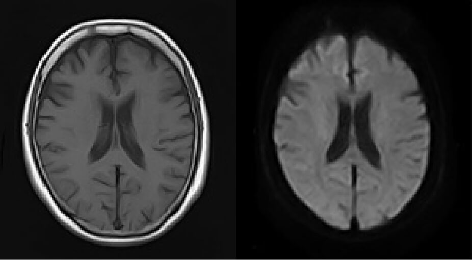
正常な脳のMRI画像1

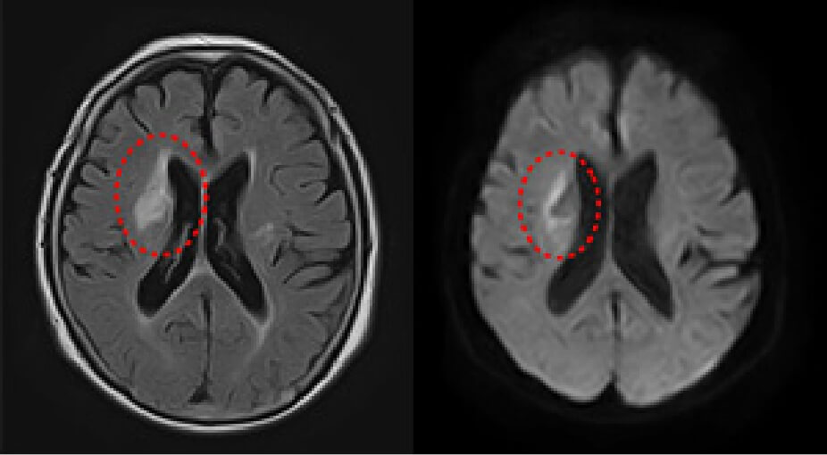
左図と同部位に梗塞のある症例

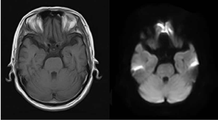
正常な脳のMRI画像2

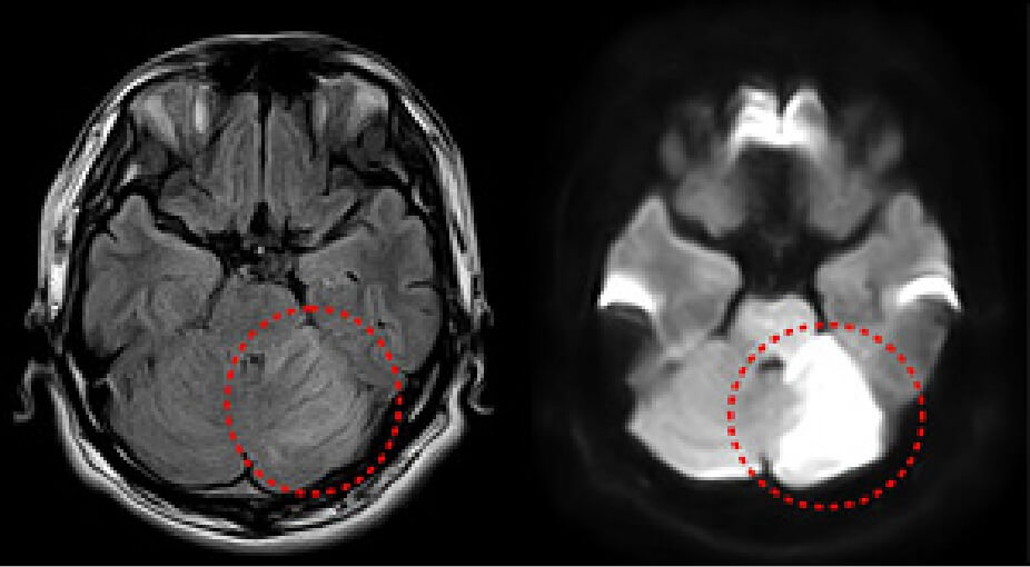
左図と同部位に梗塞のある症例

正常な脳血管のMRA画像

動脈瘤と狭窄の症例
