動脈硬化検査
動脈硬化とは、動脈の壁が硬くなったり厚くなったりして、血液の流れが悪くなっている血管の状態をいいます。動脈硬化はさまざまな臓器に影響をあたえ、その結果、脳梗塞・心筋梗塞・狭心症などの病気を引き起こす可能性があります。加齢によって誰にでも起こりますが、食生活や運動不足などが大きく関連しているため、生活習慣を見直すことにより血管年齢の改善が期待できます。
この検査では、動脈硬化度としてPWV(血管の硬さの指標)とABI(血管の詰まり具合の指標)を調べます。検査はベッドで仰向けになっておこないます。両手・両足首の4か所の血圧、心電図・心音図を測定します。検査時間は10分ほどです。
PWV(脈波伝播速度)
心臓から押し出された血液により生じた拍動が、血管を通じて手や足に届くまでの速度を調べる検査です。血管が硬いほど、PWVは高くなります。
- 基準値
- ~ 1400
ABI(上腕と足首の血圧比)
上腕と足首の血圧の比を測定することで、血管の狭窄の程度がわかります。
健常な人の場合、足首血圧は上腕血圧より高いのが普通ですが、足の動脈が脂質などで詰まったりすると、血流が悪くなり上腕の血圧より低くなります。その結果、ABIの値が低くなります。
- 基準値
- 0.9 ~ 1.3
ABI評価基準
| 0.9 < ABI < 1.3 | 正常 |
|---|---|
| ABI ≦ 0.9 | 下肢の動脈閉塞の疑いあり |
| ABI ≦ 0.8 | 下肢の動脈閉塞の可能性が高い |
| 0.5 < ABI ≦ 0.8 | 下肢の動脈閉塞が強く疑われる |
| 1.3 ≦ ABI | 下肢の動脈の石灰化を強く疑う |

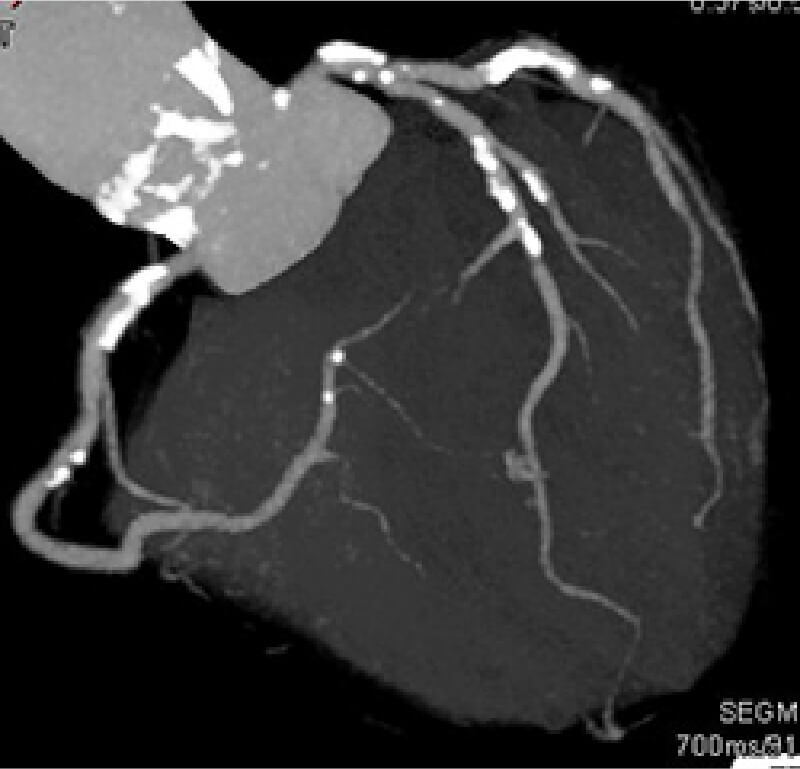
カルシウムスコア測定
心臓に血液を供給するために、心臓を取り囲むようにして存在している血管を冠動脈と呼びます。この冠動脈の石灰化の状態を調べる検査がカルシウムスコア測定です。
動脈硬化が進行して硬くなった部分を石灰化と呼び、レントゲンでは骨のように白く写ります。CT検査で心臓を撮影し、冠動脈の石灰化の量を合計した数値がカルシウムスコアです。カルシウムスコアが高い人ほど冠動脈の動脈硬化が強く、重大な心臓病を起こす可能性が高くなります。そのため、カルシウムスコア測定は虚血性心臓病の早期発見に有効な検査だといえます。生活習慣病のある方・喫煙をされる方・ご家族に同じ病気がある方には、特に受診をおすすめします。
カルシウムスコアはCT検査で測定しますが、造影剤は使用しないため被ばく量も少なく、撮影時間も数秒程度と非常に短い検査 です。カルシウムスコアが100以上の場合、精密検査が必要となります。
画像1)冠動脈のCT画像。(白い部分が石灰化)
画像2)画像1のカルシウムスコア。(1047.90とかなり高い)
肺機能検査
肺に出入りする空気の量や速度を測定し、気管支喘息・肺気腫・閉塞性肺疾患(COPD)などの病気の有無を調べる検査です。
スパイロメーターという測定器を使用して、肺活量・%肺活量(%VC)・1秒量・1秒率(%FEV1)の5項目 を測定します。
検査時間は5分ほどです。
スパイログラム

肺機能検査判定区分
| A 異常なし | B 軽度異常 | C 経過観察 | D 要医療 | |
| 1秒率 | 70.0以上 | 69.9以上 | ||
| %1秒率 | 80.0以上 (1秒率70.0以上) |
80.0以上 (1秒率70.0以上) |
79.9以下 | |
| %肺活量 | 80.0以上 | 79.9以下 |
睡眠時無呼吸症候群のスクリーニング検査
睡眠時無呼吸症候群とは、睡眠中に何度も呼吸が止まる病気で、原因の多くは肥満にともなう気道の閉塞によるものです。
無呼吸を繰り返すことで良質な睡眠を得ることができず、日中の眠気やからだの怠さなどの症状を引き起こし、社会生活に影響を及ぼすことがあります。また、無呼吸により血液中の酸素が欠乏することで心臓・脳・血管に負担がかかり、脳卒中・狭心症・心筋梗塞などの合併症を引き起こすリスクが高まります。そのほか、糖尿病や高血圧症など、さまざまな病気への悪影響も報告されています。
当センターでは、睡眠時無呼吸症候群の簡易検査を実施しています。
検査は、ご自宅での就寝時に検査装置を手首に装着していただき、簡単な操作をしていただくだけです。寝ているあいだの呼吸の状態を記録し、その記録をもとに睡眠時無呼吸症候群の可能性の評価をおこないます。特にいびきのひどい方・肥満の方・日中の眠気が気になる方におすすめします。
携帯用睡眠時無呼吸検査装置
検査項目: 酸素飽和度(SpO2)・脈拍・気流・いびき

骨密度測定
骨を構成しているカルシウムなど、ミネラル類の量を測定する検査です。加齢とともにミネラル成分が減少してくると、骨がもろくなり骨折しやすくなります。検査により骨密度を数値化することで、骨量の減少を早期に発見し、骨粗鬆症の予防や適切な治療をおこなうことができます。特に、女性は閉経後に骨密度が低下しやすいので、定期的な検査をおすすめします。当センターでは、X線による左前腕骨での測定をおこなっております。検査時間は2~3分ほどです。
日本人の骨密度変化
